头痛医心,封堵 “小心眼” ,术后会消失!生物可降解卵圆孔未闭封堵器植入术get!
45岁香港患者李女士(化名)
长期饱受头痛困扰
原来是心脏上的“小心眼”——
卵圆孔未闭作祟!
所幸,港大深圳医院多学科团队协作
成功为其开展
生物可降解卵圆孔未闭封堵器植入术
让她告别多年困扰
令人头痛的“小心眼”
李女士居住在深圳市福田区,长期以来饱受头痛困扰,每次发作起来总是头胀难受,眉心处还会出现抽痛,导致她整个人状态都很不好。
近期,头痛发作频率明显增高,药物治疗也无法缓解,已严重影响到正常工作和生活,在外院进行头颅CT、核磁共振等多项检查没有异常,但食道超声时发现卵圆孔未闭,右心声学造影阳性。
2023年12月底,李女士在朋友的介绍下,来到港大深圳医院心外科就诊。
心外科张浩副顾问医生介绍,卵圆孔是胚胎时期母婴进行血液交换的一个正常生理性通道,出生后大多数人都会闭合,但是有部分成年人仍然存在,当中部分人会有症状。
近年来的许多研究表明,卵圆孔未闭与不明原因脑卒中、偏头痛、反常性低氧血症、减压病等疾病有关。
对于脑卒中或短暂脑缺血发作合并卵圆孔未闭使用抗血小板或抗凝治疗仍复发的、顽固性或慢性偏头疼合并卵圆孔未闭、高危解剖结构的卵圆孔未闭,经皮卵圆孔未闭封堵可以达到良好的治疗效果。
但术前应经过仔细评估,根据临床指南决定患者治疗方案。港大深圳医院魏民新教授团队经过多学科会诊,决定为患者行卵圆孔封堵术。
传统的卵圆孔未闭封堵手术多在放射成像指导下进行,对于患者和医护人员均有一定影响。
且传统封堵器为镍钛合金等材料制成,会终生存在于患者心脏内,可能有心内组织磨蚀、血栓、金属过敏、房性心律失常等并发症风险,患者也可能因此产生一定的心理压力。
随着生物材料的发展,生物可降解封堵器开始应用于临床手术。可降解封堵器可在12月内自然降解成为水和二氧化碳,房间隔组织重新由自体组织形成。

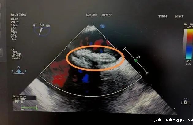
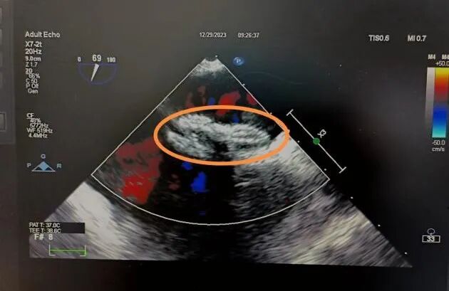
可降解封堵器植入
手术于纯超声引导下开展,心外科团队在超声科郇致福高级医生及麻醉科王小雷顾问医生精密配合操作下,顺利将一枚可降解封堵器植入李女士心脏卵圆孔未闭处,展开双盘面、锁定、释放封堵器,顺利完成封堵。
术后超声复查显示,封堵器成型稳定,双盘牢牢贴附房间隔,形态位置良好,无残余分流,封堵效果非常理想,手术顺利成功。
术后一天李女士即顺利出院,目前状况良好已投入正常工作和生活。

郇致福高级医生介绍,纯超声引导卵圆孔未闭封堵术无辐射、心内结构显示清楚,创伤小、恢复快。真正实现了“不开刀、无辐射、不用造影剂”的绿色介入治疗理念。
港大深圳医院心外科秉承“绿色介入”理念,已成功开展超声指引下介入封堵手术2年多。

魏民新教授表示,港大深圳医院在大湾区率先开展可降解封堵器植入手术,可满足当下更高的临床治愈需求,让更多患者享受到创新医疗技术和更好、更安全的医疗解决新方案。
医院将持续以创新医疗技术、优质医疗服务造福更多患者,为健康湾区建设贡献更多力量。
![]()
![]()
![]()
微信公众号
智慧医院


