71岁港籍长者跨境寻医,手术机器人“神助攻” | 港大深圳医院为高龄高危患者成功切除巨大肾肿瘤
近日,华体会最新登录首页泌尿外科团队在多学科协作下,成功为一位71岁高龄且合并多种基础疾病的港籍患者,实施机器人辅助腹腔镜左肾肿瘤切除术,完整切除直径达20厘米的巨大肾肿瘤。该手术标志着港大深圳医院在高龄高危患者复杂肿瘤手术领域的技术实力再上新台阶。
高龄+高危+巨大肿瘤:巨大肿瘤危及港人生命
71岁的杨伯(化名)一年前在香港体检时,发现左肾占位性病变,但当时未及时处理。2025年4月复查时,左肾肿瘤体积已增长至20cm左右。而且伴随明显体重下降、头晕等症状,高度怀疑有肾恶性肿瘤的可能。
然而,由于肾肿瘤体积过大,加之合并高血压、糖尿病等基础疾病的复杂情况,杨伯如果选择手术治疗的话风险很高。“当时医生同我讲冇得做手术,净系可以食药,就得返两年命咋!”杨伯回忆道。
杨伯家人带其辗转多家医院后,最终选择跨境至港大深圳医院求医。入院时经检查发现,杨伯已出现严重的贫血、凝血功能障碍、低蛋白血症等晚期肾癌消耗性表现。
“由于患者肿瘤占据大部分左侧腹腔、盆腔,手术空间相对较小,传统开放手术创伤大、出血多、恢复慢,而患者高龄且身体状况复杂,对手术耐受性要求极高。”港大深圳医院泌尿外科程小宝副顾问医生介绍。

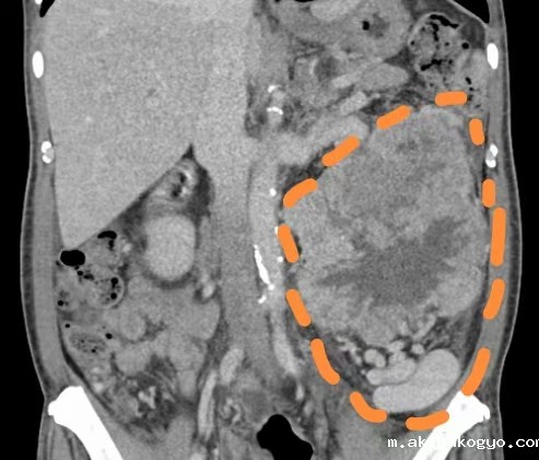
患者左肾肿瘤增大至约20cm,占据了腹腔、盆腔大部分空间
多学科协作攻坚,机器人“神助攻”
面对如此复杂的高风险病例,泌尿外科团队首先联合内分泌内科、血液内科、营养医学部、麻醉医学部进行多学科会诊(MDT),制定周密的围手术期管理方案:调控血压、血糖,确保基础疾病稳定;纠正凝血功能及贫血,降低手术风险;改善营养状态,增强患者恢复能力。
“经过多学科团队(MDT)评估,我们决定采用手术机器人辅助腹腔镜微创技术,以尽量减少手术创伤,提高肿瘤切除准确度。”程小宝副顾问医生介绍,“机器人手术操作更稳定、视野更清晰,尤其适合狭小操作空间解剖结构复杂的手术,对于高龄患者,微创手术能显著降低术后并发症风险,加速康复。”
手术中,泌尿外科团队通过机器人手术系统的3D高清视野和灵活机械臂,在狭小空间内精准分离肿瘤与周围血管、脏器的粘连,完整切除肿瘤,肿瘤连同肾块体积直径接近25cm,并最大限度减少出血和损伤,整个手术出血量仅数十毫升。

泌尿外科团队联合内分泌内科、血液内科、营养医学部、麻醉医学部进行多学科会诊(MDT)
MDT模式+机器人微创,高龄高危患者治疗新希望
得益于微创技术的应用,陈伯术后恢复顺利,贫血、凝血功能等指标显著改善,营养状况和精神状态良好,现已出院返港。
“真系估唔到咁大个手术咁简单㗎,部手术机器人好犀利!伤口细细,好快就恢复,医生都好专业!”杨伯及家属对治疗结果非常满意。

程小宝副顾问医操作手术机器人
此次手术的成功,体现了港大深圳医院多学科协作诊疗(MDT)模式的优势,也彰显了机器人辅助微创技术在复杂肿瘤手术中的突破性价值,为高龄高危患者提供了治疗新希望。
泌尿外科专家提醒:肾癌早期常无明显症状,定期体检尤为重要。若发现肾脏占位性病变,应尽早前往专科就诊,避免延误最佳治疗时机。
港大深圳医院坚持“病人为先”理念,以国际指南为循证依据,以规范化、国际化、标准化和人性化为服务导向,联合多学科为大湾区市民提供泌尿系肿瘤诊治防一体化的临床服务。
微信公众号
智慧医院


